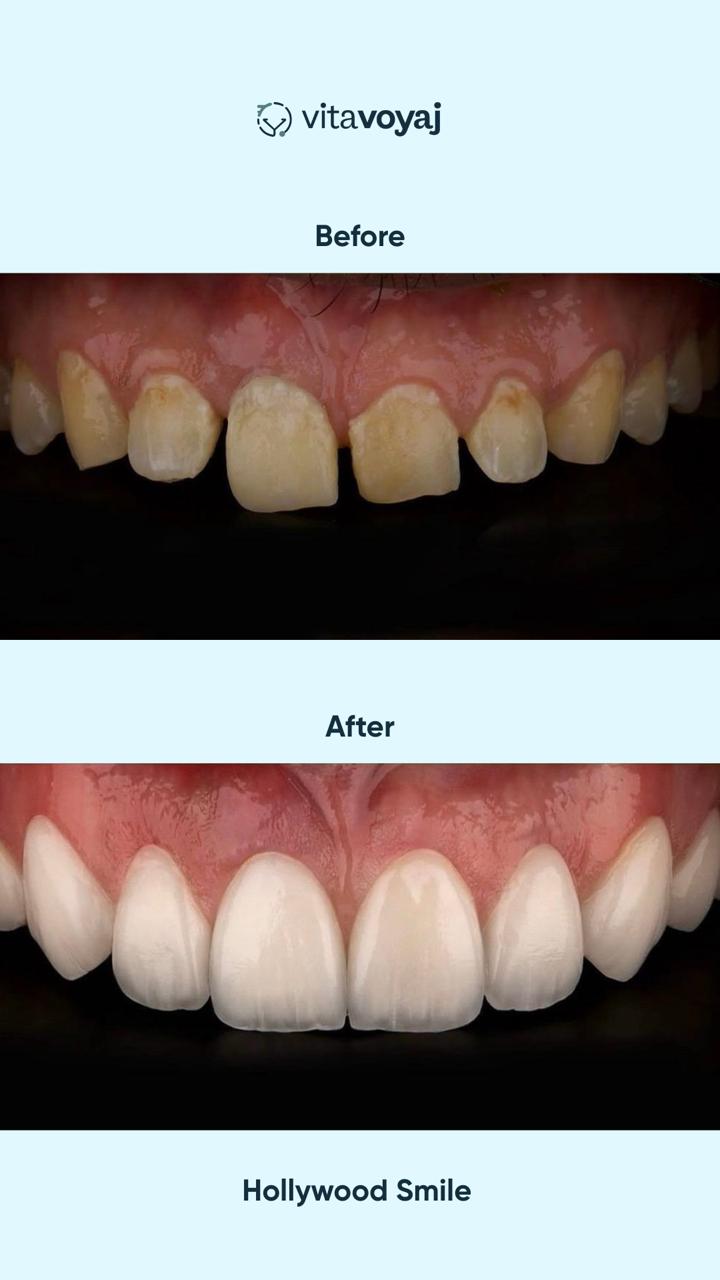
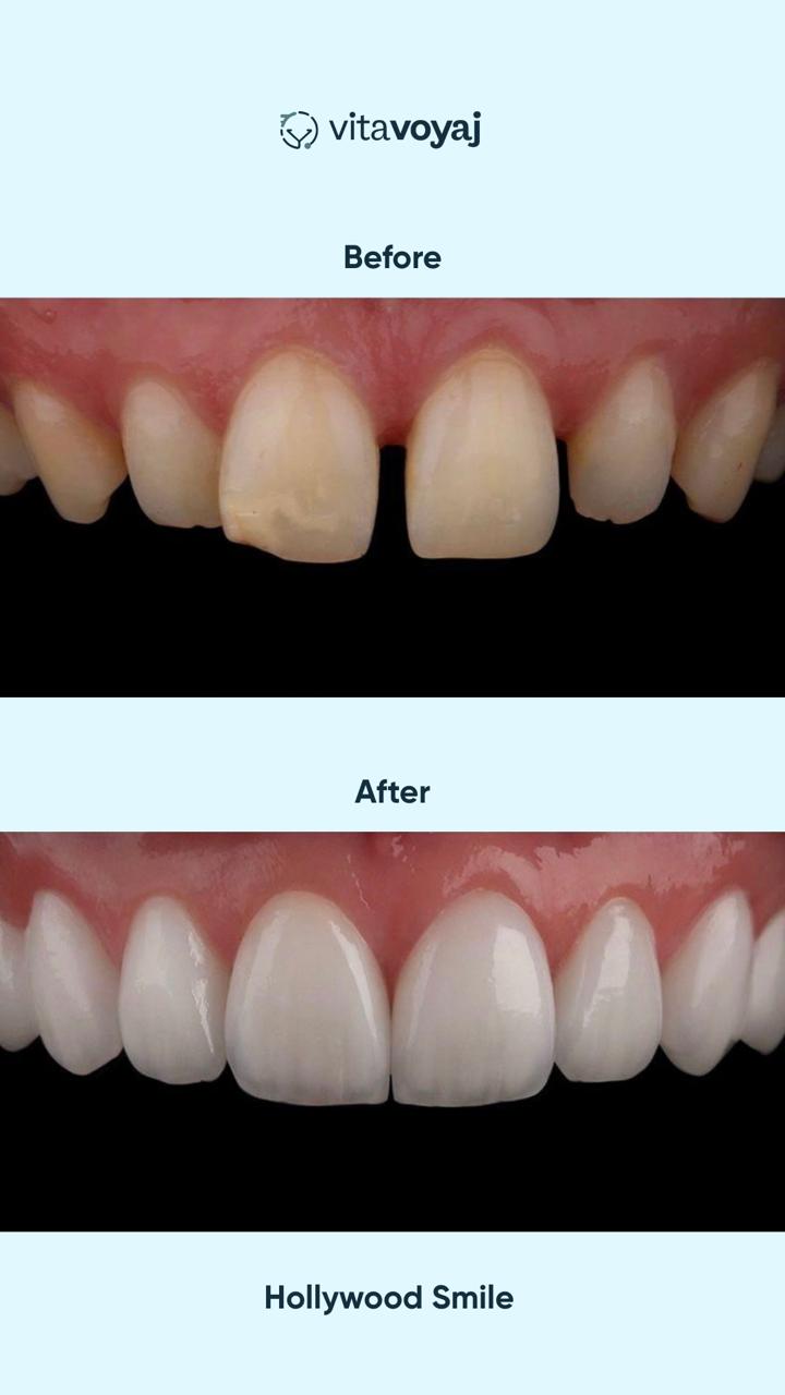
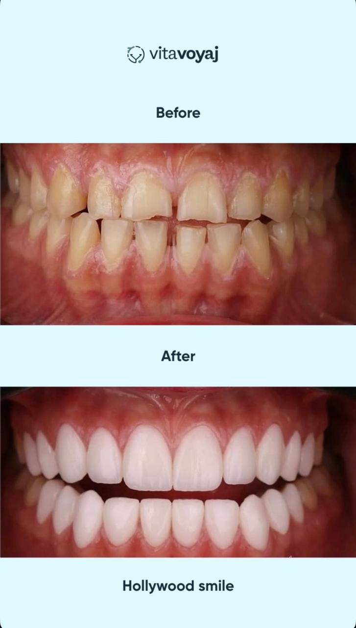
Description
Technologies:
-
IPS E.max (Ivoclar Vivadent)
-
Ultra-Thin Hand-Layered Veneers
-
Digital Smile Design (Pre-Op)
-
Same-Day Delivery
Services:
-
Digital Scanning
-
Board-Certified Specialists
-
Internationally Accredited Clinics
Benefits:
-
Up to 80% Savings






















Reviews
There are no reviews yet.